One of my boldest and most controversial claims is that, on certain occasions, the removal of wisdom teeth is, or can be, a form of mutilation. Quite the shocking and strong word there!
In dentistry, we often define a mutilation as the unnecessary removal of a healthy and functional tooth that can take part in chewing normally. Plenty of wisdom teeth in this situation get removed regularly, and I canât but condemn that as mutilation.
I am aware that this word has angered other dentists, probably because they didnât understand my point. Or they didnât want to understand it.
Whatever the case, I stand by my words.
I reaffirm my claim: removing well positioned, non-risky, healthy and asymptomatic wisdom teeth that are taking part in chewing normally, or can be expected to do so, is literally a mutilation. And doing such a thing is unethical and unprofessional. It is malpractice. If things like this happen, no wonder so many people hate dentists! I have a single wisdom tooth that fully erupted and is not impacted, and I know I would totally hate my own dentist in Spain if he had persuaded me with nonsense to take it out.
In other cases (wisdom teeth with no room to come in, symptoms, associated pathology, wisdom teeth not taking part in chewing⊠), I may or may not oppose their removal. But when I oppose it, I donât call it a mutilation. I reserve this tough word for the cases when the tooth position is ideal and the tooth itself is healthy and has no symptoms.
I know I am being very bold here. Remember that I am here to offer my opinion without filters. And just like we should not consider that Francisco de Goya was a better painter than Norman Rockwell, we should not consider that I am a better dentist than yours. However, if your dentist or surgeon is in favor of removing perfect teeth, teeth with no problems whatsoever, then, for once, I might, indeed, be a better professional than they are. A much better one, actually.
I am having to explain why it is wrong to remove teeth that are absolutely fine. And it honestly feels a bit⊠shameful? In other articles I cover the controversial issue of impacted, asymptomatic wisdom teeth, whose prophylactic removal I also oppose. But I still understand why a different approach towards them exists. There is some (flawed) logic to follow there.
In the case we are discussing now, there is no such different approach. There is no logic to follow. Nada. Removing teeth that are healthy, well positioned and functional is wrong. And thatâs final. I often redirect my beloved readers to the Resources section of this web, but regarding the topic weâre covering here, you wonât even find much bibliography or guidelines backing my point. Because just like nobody removes a healthy and functional kidney for the sake of it (and no guideline or study is needed to back this approach), it is understood that nobodyâs going to remove teeth that are fine for the sake of it.
And yet, these removals, these MUTILATIONS, happen. A lot. Nonsensical, like routine tonsil removal in children was.
This is madness. And this needs to stop.
Speaking of kidneys, I kind of envy nephrologists, because I am sure they donât need to explain why keeping both kidneys is better than having only one. But apparently, when it comes to preserving healthy and functional teeth, the explanation is actually necessary, so letâs dive into this.
The human dentition has 32 teeth, with wisdom teeth being teeth like any other. I strongly disagree with the pop culture claims about wisdom teeth being âvestigialâ, âdisappearingâ or âuselessâ, for reasons that are covered in another article. I will not extend myself here, because this is not the topic now. But if humans naturally develop third molars, it is for a reason. These teeth should be able to come in and take part in chewing just like any other tooth. Wisdom teeth should not be considered or treated differently than other teeth. If you understand this last phrase, you will understand most of my philosophy. Read it again: wisdom teeth should not be considered or treated differently than other teeth.
Accordingly, if wisdom teeth have the potential of coming in and taking part in chewing normally, they should be kept. Furthermore, if a wisdom tooth is in a favorable position, as I see it, any attempt to try and keep it in the mouth is justified. So, if it has pathology, attempts should be made to try and solve it without removing the tooth. But this also falls out the topic of this article, as I am talking against the removal of teeth that are perfectly fine. If you are interested in how and when I treat the pathology associated with wisdom teeth in a minimally invasive way, have a look at the corresponding articles.
For now, letâs just say that kids do perfectly fine with a single set of permanent molars only: the first molars, or 6-year-old molars. They live and chew fine for years, before their second molars (12-year-old molars) come in. And yet, nobody ever thinks of removing their second molars for no reason. For teenagers or adults whose third molars (wisdom teeth) are developing normally, the approach should be the same.
âOoooh, but wisdom teeth coming in are going to push the other teeth, and make them crowded, or even more crowded, or to ruin your ortho treatmentâ. Seriously, are we still believing this nonsense? This is false. Even when HORIZONTALLY impacted, wisdom teeth donât push the other teeth. I have a whole article covering this topic too. So, no, you donât need to remove your perfectly positioned wisdom teeth to prevent them from crowding your other teeth. Even if you wore braces. Just make sure you wear your retainer. Otherwise, your teeth will move (and it will have absolutely nothing to do with your wisdom teeth).
Beyond the not-so-wholesome fairytale about wisdom teeth causing crowding, I think there are three main reasons that explain why wisdom tooth mutilations are so common: the tendency of many dentists to remove all four wisdom teeth instead of only the one(s) causing problems; wrong diagnosis of impaction (i. e., a toothâs lack of space or bad position to erupt); and insurance (public or private) somehow pushing patients towards getting the removal done. Each one is covered in a specific article, so I will keep it short here.
Indeed, many dentists or surgeons donât ever think of a wisdom tooth removal, in the singular. Instead, they always recommend the removal of all four of them, automatically and without reflection. This means that, even if only one wisdom tooth is problematic, they will remove all four of them, including the ones that are potentially able to come in like another normal tooth. This is wrong on so many levels, and you should not let it happen to you. My patients get removed, strictly, the wisdom teeth that they need to get out, and no other.
Impaction, a lack of space, an unfavorable position, or anything like that, doesnât justify a wisdom tooth removal on its own. But this is a matter for another debate, as, again, I wouldnât say removing an impacted wisdom tooth counts as mutilation: there is some logic to justify the removal in that case. But I can confidently say that some dentists fail to even properly diagnose well positioned wisdom teeth. There are countless false positives of impactions. Wisdom teeth on x-rays should not appear as completely vertical: a bit of inclination is completely fine (necessary and physiological, actually). If you have your panoramic x-ray and need help trying to interpret it, donât hesitate to contact me. I canât replace your dentist (remember, I donât offer a telemedicine service), but I can at least tell you what I see on your x-ray.
And âinsurance-inducedâ pressure to get the wisdom teeth removed is also quite sad. Why, just why? What kind of consideration for a health facility is that? For Godâs sake, itâs your health, your body, your TEETH, one of the few body parts that donât regenerate. Get done what you NEED to get done, not as much as your insurance will cover! What kind of criterion is that? You know, when I go to all-you-can eat buffets, I fast and do some intense cardio before, so that I can eat even more. I eat like a panda: meatless and in great quantity. I hope I wonât end up featuring a chubbyemu video someday. This kind of mentality makes a lot of sense at a buffet, but not at a health facility.
There must be other reasons too. It is impossible not to think of the economic incentives that some dentists or surgeons may have to remove wisdom teeth. But, as explained on the corresponding article, I believe this reason is secondary: the clinical decisions of almost all dentists are well intended. In other words: they are not corrupt. They are simply wrong.
Similarly, the bad image that wisdom teeth often have in popular culture doesnât help, but this is likely not a main reason either, as patients donât often come to dental offices demanding to get their asymptomatic wisdom teeth removed just like that. But if this was the case, any ethical dentist should refuse to remove the teeth and convince the patient not to get them removed. We are not hairdressers, with all due respect: we are healthcare providers.
There is also when the military remove the young privatesâ wisdom teeth. I have heard many such cases from people that joined the US Marine Corps. And when I lived and worked in the wonderful city of Brest, Franceâs main military port in the Atlantic, I also saw a few members of the French navy as patients, who had gotten their wisdom teeth removed. This seemed to be particularly common for those that were going to serve on board submarines. Although, to be fair, it wasnât all of them, and I couldnât discover if their removals had been true cases of what I call mutilations. But I wouldnât be surprised if this were the case. According to testimonies I have read online, wisdom tooth mutilations do happen, at least sometimes, to people trying to join the US marines. Which is a complete shame. A full set of teeth is a sign of health, and healthy troops should not be deprived of it for no reason! Recommended read: the frequency of wisdom teeth removals changes from one country to the other.
If by any chance you happen to be a US marine (or any kind of military person, for that matter) that underwent unnecessary wisdom teeth removals, feel free to contact me and let me hear about your case. Learning about these cases helps me mature and improve my philosophy, and offer better advice.
We will now see and discuss a clinical case of wisdom teeth that were 100% fine, and still got removed for no reason. To illustrate that what I am denouncing here is true, it happens, it may be your case, you should be aware of it, and you should not let it happen to you.
Working in France, I encounter an endless number of patients that got all their four wisdom teeth removed. And while I have a gut feeling that a huge percentage of these were actual mutilations, a gut feeling is not enough. Encountering cases that I can safely conclude were mutilations is not that common. As I find them in my clinical practice, I will share them in other publications. For now, one case is enough.
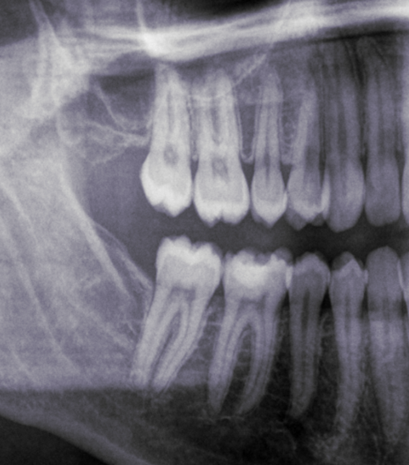
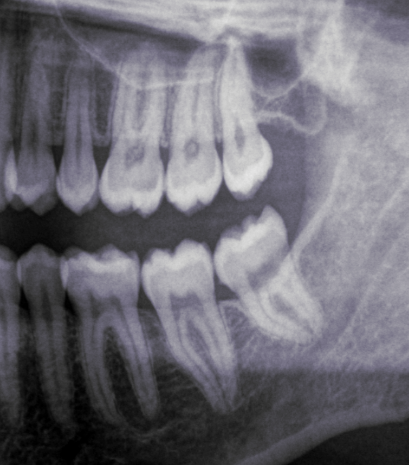
Look at these x-rays:


This patient was a female in her mid-30s. We will call her FA. As you can see, she only keeps her left wisdom teeth. At the age of 15, FAâs dentist wrongly diagnosed all her four wisdom teeth as impacted and recommended her to get them all out. FA was scheduled for two appointments: one to remove her right ones, and the other for the left ones.
Being 15 years old, I can imagine her wisdom teeth were still forming, deep in the bone. Maybe a big osteotomy (bone removal) was necessary to get to them. The issue of young teenagers (when not children) getting their wisdom teeth removed is also quite outrageous, but this article is long enough as it is already, so I wonât cover it here. The thing is that her post-operatory period was absolutely awful, so much so, that she refused to go get her remaining wisdom teeth removed.
Her case serves as a perfect illustration of three issues that I often denounce on this project: dentists failing to see that a wisdom tooth does have space to come in; dentists removing all four wisdom teeth automatically and without further reflection; and mutilations.
Her left wisdom teeth, also diagnosed as impacted back then, are obviously not impacted! Having examined her mouth, I can confirm they are perfect, ideally erupted and taking part in chewing like the normal teeth they are. Yet, they were diagnosed as impacted, with no place and problematic. This is nothing short of horrifying.
And I can very confidently say that her right molars were not impacted either, because of her wide retromolar spaces to the right (that is, the spaces behind her second molars), because we can be sure that her dentist was not able to properly diagnose impactions, and because of how ideally positioned and erupted her remaining wisdom teeth are. And no, she wasnât having any kind of symptoms, discomfort or infections. Nor did she need the removal for any orthodontic or surgical reasons.
In a nutshell: she was mutilated.
And you could be, too. Be aware and critical of invasive procedures, and only get done what actually needs to get done.
Maybe this was already your case. Maybe you are shocked right now. I understand you. The world is unfair, and it totally sucks not receiving the best from those that should take care of us, healthcare providers or others. You can contact me and tell me more about your case. Understanding and analyzing a problem is often a way to feel better about it.
And if you can provide your x-rays or other images properly illustrating how you got your wisdom teeth removed without a real need, I will also be happy to publish your case on this page, to let it be a stern warning for others. If you agree to it, of course.
If you did get your wisdom teeth removed without a real need, it was not your fault. Not knowing about this problem is not your fault. If anybodyâs to blame, it would have to be your dentist or surgeon. But even they, I am sure, acted with their best intention, and are only guilty of not knowing.
So, to end this sufficiently long article, weâll stay in the Mediterranean, but we will change Spain for Greece, as I will finish with a phrase by none other than Socrates: áŒÎœ ÎŒÏÎœÎżÎœ áŒÎłÎ±ÎžáœžÎœ ΔጶΜαÎč, ÏᜎΜ áŒÏÎčÏÏÎźÎŒÎ·Îœ, Îșα᜶ áŒÎœ ÎŒÏÎœÎżÎœ ÎșαÎșÏΜ, ÏᜎΜ áŒÎŒÎ±ÎžÎŻÎ±Îœ. Meaning: There is only one good, knowledge, and only one evil, ignorance.
Make sure to share this article and spread the minimally invasive word.
And remember that I am here for you.
Saludos cordales.